Maartje
Manders
verloskundige - team roze - specialisaties - echoscopiste - centering pregnancy - anticonceptie
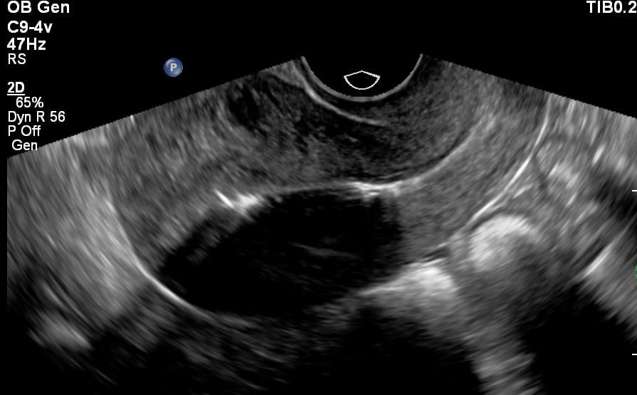
Als je een spiraal geplaatst hebt gekregen bij ons in de praktijk via 040anticonceptie, dan krijg je bij de plaatsing van je spiraaltje en 4-6 weken na plaatsing een echo als je dat wil. We kijken dan of de spiraal op de juiste locatie in je baarmoeder zit, de pootjes goed uitgeklapt zijn en of er geen bijzonderheden te zien zijn bij je eierstokken (ovaria).
Mocht je een spiraal hebben en wat klachten ondervinden, dan kun je ook bij ons terecht voor een controle-echo van je spiraaltje. Ook als de spraal niet door ons eigen team is geplaatst. Soms is het na een paar jaar gewoon fijn om te weten dat alles in orde is. Je kunt de assistente bellen voor een afspraak. Je kunt dan op korte termijn bij ons terecht. De kosten van deze spiraalcontrole echo worden niet altijd vergoed door je verzekeraar. De kosten voor deze echo bedragen € 50,37.
Maartje
Manders
verloskundige - team roze - specialisaties - echoscopiste - centering pregnancy - anticonceptie