Maartje
Manders
verloskundige - team roze - specialisaties - echoscopiste - centering pregnancy - anticonceptie
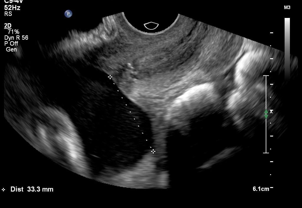
In de meeste gevallen is de placenta voldoende omhoog gegroeid. Dit gebeurt in de zwangerschap met de groei van de baarmoeder. Bij 32 weken willen wij dat de placenta minimaal 2 centimeter bij de baarmoederhals vandaan ligt, omdat je anders risico op complicaties loopt.
Deze echo is zowel via de buik als via een inwendige vaginale echo, omdat de baarmoedermond goed in beeld gebracht moet worden. De verloskundige vertelt je er meer over op het spreekuur.

Maartje
Manders
verloskundige - team roze - specialisaties - echoscopiste - centering pregnancy - anticonceptie