Celina
van Grotel
obstetric - team blue - specialisations - ultrasound technician
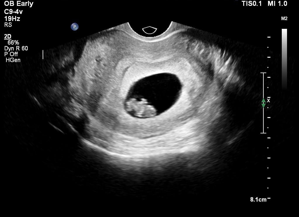
During a blood loss ultrasound, we examine the cause of the blood loss and look for peculiarities and whether the baby’s heart is beating. Usually the blood loss is harmless and nothing is wrong. Sometimes, unfortunately, the midwife determines that there is no heart beating or that the embryo is not developing properly. This is called a miscarriage.

Celina
van Grotel
obstetric - team blue - specialisations - ultrasound technician
Do not immediately assume the worst, because often there is thus another reason for the bleeding. Contact us if you have blood loss and are concerned.
There are several possible causes of blood loss: