Celina
van Grotel
obstetric - team blue - specialisations - ultrasound technician
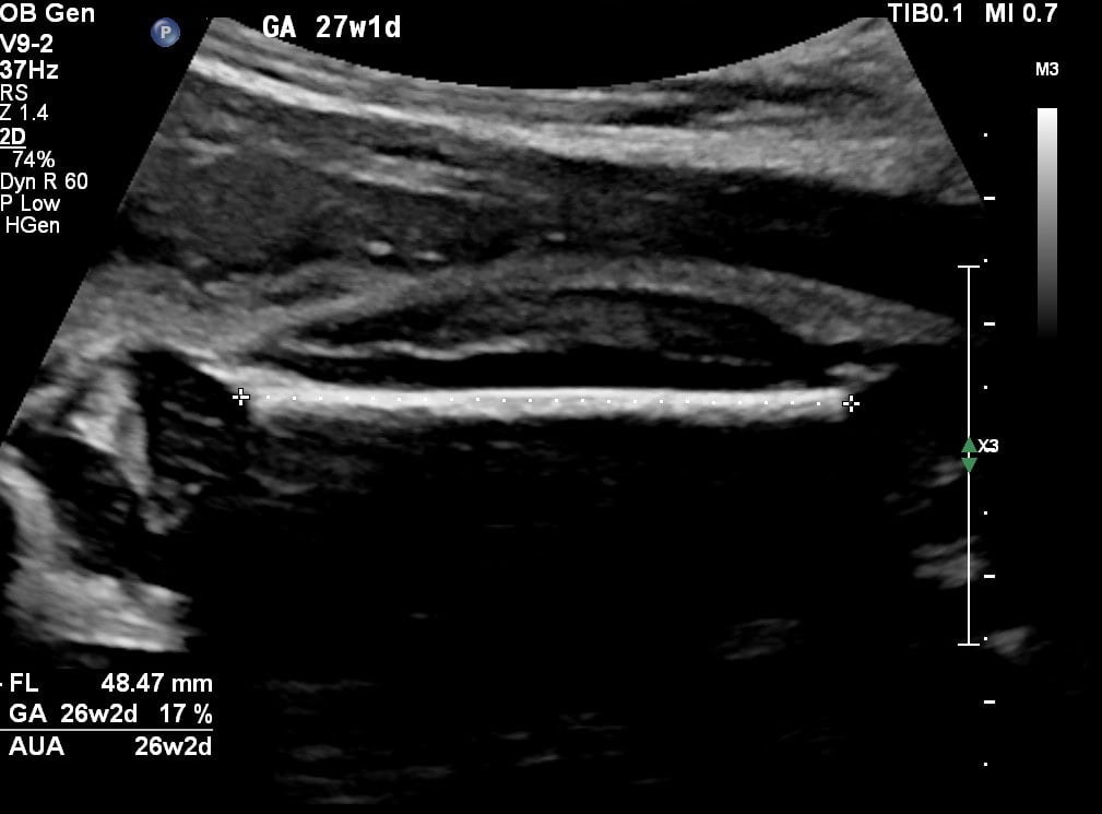
If your uterus is growing well, the baby is also growing well. Are you completely healthy yourself and your baby is growing well? Then no growth ultrasound is necessary. If you have an increased risk of a small or large baby, the midwife will agree with you to do a growth ultrasound. This is also done when the baby’s growth cannot be felt well through the abdomen. During a growth ultrasound, the baby’s head, abdominal size and upper leg are measured and the amount of amniotic fluid is determined. It often takes several ultrasounds to know if the baby is growing as expected.

Celina
van Grotel
obstetric - team blue - specialisations - ultrasound technician